Home » GOLFER’S ELBOW (MEDIAL EPICONDYLITIS)
What is Golfer’s Elbow?
If you’re having pain:
• On the inside of your arm where your pinkie is
• From your elbow down to your wrist
There’s a good chance you may have golfer’s elbow, also known as pitcher’s elbow or medial epicondylitis. Golfer’s elbow is actually not a condition of the elbow joint itself, but more the tendons and muscles extending down the forearm to the wrist and hand. Golfer’s elbow is tendinopathy on the inside of the elbow, or the medial epicondyle. Golfer’s elbow occurs from overuse or overloading of the medial common flexor tendons of the wrist and hand (Kiel & Kaiser, 2023) and occurs in the dominant arm in 75% of cases (Reece et al., 2024).
Despite the name, more than 90% of cases aren’t actually related to golf or any sports – golfer’s elbow is more often caused by labour-intensive jobs with forceful and repetitive movements, such as carpentry, plumbing or construction (Kiel & Kaiser, 2023).
If golfer’s elbow does develop from sports, it isn’t just golf that can cause it. Other sports such as weightlifting, tennis and other racquet sports can also cause golfer’s elbow due to the way the flexor muscles of the forearm are used. Risk factors for golfer’s elbow in sports include training errors, incorrect technique or use of cheap equipment – have a chat to your therapist if you think the way you’re playing is causing you any grief.
Symptoms
Golfer’s elbow presents as pain on the inside of the elbow (the side where your pinkie is) and extends down the forearm into the wrist. This pain usually worsens with forearm movement, gripping or throwing. There may also be elbow stiffness, weakness or even numbness or tingling. In acute cases of golfer’s elbow, there may be with swelling, redness or warmth around the elbow.
Chronic cases usually won’t present with these symptoms but will report tenderness over the medial epicondyle.
Symptoms usually resolve once you stop performing an activity (e.g., stop playing a sport or stop performing heavy duties at work).
Assessment
Assessment of golfer’s elbow is primarily clinical – that is, your therapist will assess your symptoms to determine whether they think it is golfer’s elbow, or something else. Patients will present with pain around the elbow which is worsened with resisted wrist flexion or pronation.
For more chronic cases, patients may also have weakened grip strength – assessment with a dynamometer is ideal to check for this. Typically, range of motion is not affected in golfer’s elbow – however, clinical assessment of range of motion is beneficial just to be thorough.
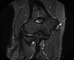
Imaging such as an ultrasound or MRI is also sometimes used to help diagnose golfer’s elbow, with an MRI being considered the ‘gold standard’ for diagnosis. In the case of golfer’s elbow, imaging is more often used to rule out other injuries that may be causing symptoms. However, should imaging be used to help diagnose golfer’s elbow, an MRI would reveal a thickened common flexor tendon sheath (Abbasi & Ahmad, 2024). This may be hard to identify on imaging if you’re unsure what to look for, so always ask for a second (or even third) opinion if you’re not sure.
Treatment
Golfer’s elbow is almost always treated conservatively, with surgery very rarely considered as an option in severe refractory cases (McMurtrie & Watts, 2012). The goal of treatment for golfer’s elbow should be for no pain and full motion in the wrist and elbow. Initially, stopping activities that cause pain or stress the flexor tendon is needed. This may look like ceasing an activity altogether or decreasing its volume, frequency or intensity. Of course, for some patients this may not be an option, so discussion about what is both realistic and conducive to recovery is vital. Painkillers may also help initially to alleviate symptoms, such as non-steroidal antiinflammatories (e.g. aspirin or ibuprofen) or acetaminophen. Bracing the wrist with a wrist immobilisation splint may also help to reduce stress on the tendon, with the splint being worn at nighttime or during activities that stress the flexor tendon if possible – your therapist will talk to you about whether they think a splint is necessary and will make a custom fit one for you if needed.
After the initial treatments, physical rehabilitation will start with heat, soft tissue massage and strengthening exercises. Soft tissue massage will concentrate largely on the pronator teres – the muscle involved with forearm pronation and flexion. Strengthening exercises will primarily involve isometric stabilisation exercises for the wrist and elbow. While these will be completed in clinic with your therapist, it is essential they are also completed at home for the best recovery outcomes. After a few weeks, introducing the can-do bar into home exercises will also help with strengthening. Your therapist will increase the resistance of the can-do bar when you are able to do multiple exercises with the bar easily and without pain.
Throughout the course of treatment, your therapist will take objective measures to track progress (e.g. grip strength, Pain VAS, range of motion) as well as talk to you about how you think your progressing. When you are able to complete exercises or activities with minimal to no pain, your therapist may talk to you about gradually resuming your normal activities.
Most patients have good outcomes with golfer’s elbow if they adhere to therapy and partake in exercises, however, recurrence is common – continuing to partake in a activity modification such as changes to sporting or job equipment and technique modifications is beneficial to help prevent recurrence (Kiel & Kaiser, 2023). Remember – talk to your therapist before your discharge if you have any questions or concerns!
References
Abbasi, D. and Ahmad, C.S. (2024) Medial Epicondylitis (Golfer’s Elbow), Orthobullets. Available at: https://www.orthobullets.com/shoulder-and-elbow/3083/medial-epicondylitis-golfers-elbow (Accessed: 30 July 2024). Kiel, J. and Kaiser, K. (2023) Golfers elbow, StatPearls [Internet]. Available at: https://www.ncbi.nlm.nih.gov/books/NBK519000/ (Accessed: 30 July 2024). McMurtrie, A. and Watts, A.C. (2012) ‘(VI) tennis elbow and golfer’s elbow’, Orthopaedics and Trauma, 26(5), pp. 337–344. doi:10.1016/j.mporth.2012.09.001. Reece, C.L., Li, D.D. and Susmarski, A.J. (2024) Medial epicondylitis, StatPearls [Internet]. Available at: https://www.ncbi.nlm.nih.gov/books/NBK557869/ (Accessed: 30 July 2024).
Author
-
View all posts Occupational TherapistRhyannah graduated with a Bachelor of Science in Human Biology and Science Communication from the Australian National University, then earned a Master of Occupational Therapy from the University of Canberra. She has clinical experience in occupational rehabilitation and community care, with a passion for hand therapy stemming from her interest in upper limb anatomy. Rhyannah focuses on helping patients return to pre-injury activities and keeps updated on hand therapy research for customised rehabilitation programs. Outside work, she plays tennis socially and competitively, inspired by her childhood. She currently works at Action Rehab, assisting those with upper limb injuries.



