Home » Wrist and Forearm Physiotherapy » Broken Wrist – Colles’ Fracture
If you’ve injured or are experiencing severe pain, swelling, bruising and tenderness with your wrist, you’ve come to the right place.

Within 24 hours
Urgent Care Required

Suggest X-ray


Thermoplastic Wrist water proof cast/orthosis. 6 weeks of protection followed by wrist core strengthening program. Re-Xray after 6 weeks
Also referred to as Colles’ or Smith’s fracture, Broken Wrist – Distal Radial Fracture is often associated with the shortening of the radius. If the fracture occurs close to the wrist, this can alter the alignment of the joint, causing pain and loss of function.

If a wrist is broken, it may show signs and symptoms, such as:
Call us on 1300 762 227 for an appointment, or schedule an appointment online by clicking the button below.
Our Physiotherapists and Occupational Therapists have extensive knowledge and experience in assessing, diagnosing, treating, and managing your hand and upper extremity – your shoulder, elbow, wrist, and hand – injuries or conditions, so you know you’re in good hands.
The hand therapists at Action Rehab are experienced in the assessment and treatment of broken wrist injuries. With a reputation endorsed by sporting organisations like the Melbourne Football Club, Action Rehab is the smart choice for treating your broken wrist.
Get on the road to recovery, so you can do the things you love.
A broken wrist (Colles’ Fracture) can be painful and complicated. Our Hand Therapists, Physiotherapists and Occupational Therapists offer an Urgent Care service for anyone who suspects they may have a Colles’ Fracture or Broken Wrist. Our Hand Therapists will assess your injury, review your xray or CT imaging and thoroughly assess your broken wrist to determine the appropriate course of rehabilitation, fabricate a custom thermoplastic splint/cast, and, when clinically appropriate, commence a home exercise plan, such as range of motion and strengthening exercises.
No two broken wrists or Colles’ Fracture injuries are the same and there is no ‘recipe’. At Action Rehab our Hand Therapists will tailor the treatment to the patient. We don’t use off-the-shelf splints, instead we use our thermoplastic splints/casts that are light weight and water resistant.
A water proof splint/cast is usually used for several weeks full time before a graded range of motion and strengthening is commenced following a repeat xray. Your Hand Therapist, Physiotherapist or Occupational Therapist will help you to return to function.
Conservative Approach
A Broken Wrist or Colles’ Fracture that is stable and un displaced can be treated without surgery. Your Hand Therapist at Action Rehab can assess the Broken Wrist (Colles’ Fracture) and advise on the most appropriate treatment to help you return to sport, work, and function as soon as possible.

Surgical Approach
When there is displacement or the Broken Wrist Colles’ Fracture cannot be stabilised following manipulation then surgery may be required. The Hand Therapists, Physiotherapists and Occupational Therapists at Action Rehab are experienced in treating post surgical Broken Wrists. It is important that you seek Hand Therapy following your wrist surgery in order to limit your post operative complications, increase your function and return to sport or work sooner.

See below the two treatment approaches for a patient who has broken wrist.
Fig 1: Basic Treatment
Traditionally a plaster cast POP is used to treat a stable Colles’ Fracture or Broken Wrist. These need to be kept out of the water and patients find them difficult to keep on for 6 weeks.

Fig 2: Action Rehab Treatment
A waterproof, supporting, light weight, custom made thermoplastic “cast” or orthosis is fabricated by your Hand Therapist. These can be made to prevent removal and provide circumferential support.

Call us on 1300 762 227 for an appointment, or schedule an appointment online by clicking the button below.
Colles’ Fracture or a Broken Wrist is complex and can lead to serious complications and frustrations if not treated appropriately.
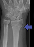
Your Hand Therapist, Physiotherapist or Occupational Therapist at Action Rehab will assess your X-rays, educate you on the injury and then fabricate the right brace for you. The therapists at Action Rehab are experienced in assessing and reading X-rays.
Our therapists do regular GP and Emergency Doctor training and can advise on the most appropriate action for your Colles’ Fracture or Broken Wrist treatment.
Known for providing treatment for Colles’ Fracture, Broken Wrists and other fractures of the hand, wrist, elbow and shoulder Action Rehab are the hand therapists that Melbourne trusts.

Colles’ Fracture or a Broken wrist is the most common fracture of the arm or wrist. A Broken Wrist or Colles’ Fracture is most common in women over 50 years of age.
Broken wrist is caused by a fall on an outstretched hand. It is common in ball sports such as tennis.
Colles’ Fracture or a Broken wrist takes about 6-8 weeks to recover but depending on the type of injury it may take longer. Surgery doesn’t normally make the process faster but it will help to stabilise an otherwise unstable fracture.
Surgery is often indicated following a Colles’ Fracture or a Broken Wrist but careful assessment is required. Action Rehab therapists can assess the X-ray and can advise if your Broken Wrist injury needs surgery.
Broken wrist can be a serious injury. You should always see a Hand Therapist if you have a Broken Wrist injury because they are much more complicated than you think.
Action Rehab provide assessment and treatment for all conditions relating to the upper limb, including broken wrists. Come and see our highly qualified and friendly staff today at a location convenient to you.