Home » Hand Physiotherapy » Trigger Finger
If you have a little swelling in the knuckles or an inability to fully bend the fingers or fully straighten them, you’ve come to the right place.

Within 1 week

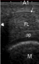
Suggest Ultrasound


Thermoplastic Trigger finger water proof orthosis. 6 week splinting with gradual tendon re-education program through AROM.

Trigger finger will start as just a little swelling or an inability to fully bend the fingers or fully straighten them. This is because swelling starts to settle in the knuckles of the fingers around the A1 or first pulley in the hand. The knuckles need to be stable and in some cases especially repetitive gripping a person might lose this stability and then become swollen and develop a trigger finger.
The sooner your trigger finger is diagnosed the less likelihood there is for complications. Seeking early hand therapy assessment and advice may be helpful. Trigger finger will change from just a swelling to a clicking and then a locking in many patients. The sooner you are assessed and diagnosed by a Hand Therapist at Action Rehab then hopefully the less complications there are.
Call us on 1300 762 227 for an appointment, or schedule an appointment online by clicking the button below.
Trigger finger can occur during or after pregnancy. This is commonly associated with swelling that can settle in the hands later in pregnancy or it could be due to damage (scarring) of the tendons that might have occurred after the birth of the baby. Trigger finger during pregnancy can be annoying and painful.

Our Physiotherapists and Occupational Therapists have extensive knowledge and experience in assessing, diagnosing, treating, and managing your hand and upper extremity – your shoulder, elbow, wrist, and hand – injuries or conditions, so you know you’re in good hands.
The hand therapists at Action Rehab are experienced in the assessment and treatment of Trigger Finger. With a reputation endorsed by sporting organisations like the Melbourne Football Club, Action Rehab is the smart choice for treating your Trigger Finger.
Get on the road to recovery, so you can do the things you love.
Trigger finger treatment and management is really simple. Generally the hand therapist at Action Rehab will establish the cause of your trigger finger and then provide you with a small water resistant ring brace. This brace is small and functional and protects the knuckle of your trigger finger. Once you have settled the symptoms of trigger finger in the brace then the Action Rehab hand therapist will advise you on a stretching and strengthening program that may prevent the trigger finger from recurrence.

Does Trigger Finger Require Surgery?
Generally no Trigger Finger should not require surgery. At Action Rehab your Hand Therapist, Physiotherapist or Occupational Therapist will assess and treat your symptoms. This will minimise the need for surgery.
A delay in seeking hand therapy treatment may result in more complications and a loss of function.
Fig 1: Basic Treatment
A metal splint being used to treat a finger trigger injury. It does not allow a full range of motion, nor does it protect the trigger.

Fig 2: Action Rehab Treatment
A trigger finger splint to treat injury. It is lightweight, water resistant and allows full range of motion whilst protecting the trigger, preventing further inflammation.

Call us on 1300 762 227 for an appointment, or schedule an appointment online by clicking the button below.
It is important when you have trigger finger that you choose Action Rehab for your treatment. Therapists at Action Rehab are experienced in the assessment and treatment of trigger finger.
Your Action Rehab therapist will not suggest a steroid injection unless it is clinically appropriate to do so and it will be in conjunction with a splinting, stretching and stabilisation program not just an injection in isolation.
This is why it is important to see a Hand Therapist at Action Rehab for your trigger finger.
Known for providing treatment for trigger finger and other hand, wrist, elbow and shoulder injuries, Action Rehab are the hand therapists that Melbourne trusts.

Trigger finger is very common and can occur in up to 50% of rowers, 10% of pregnancies and 3-4% of the general population. It is one of the most common conditions seen at Action Rehab.
Trigger finger can be caused by repetitive gripping such as rowing or by swelling in the case of pregnancy or it can also be caused by diabetes.
It can take a long time to recover from Trigger Finger. It is really important to seek treatment early and not wait for the locking because the sooner it is prevented from locking then the sooner it improves.
Generally Trigger Finger does not require surgery. However if the finger is locking and treatment is not having the desired effect then your Hand Therapist at Action Rehab will be able to refer you to the appropriate surgeon to have it treated.
Yes. It is very debilitating when your Trigger Finger gets stuck in your palm and in extreme cases it can get stuck and not straighten so early assessment by a Hand Therapist is a good idea.
No, if it is untreated it will deteriorate and get worse so seek early treatment for your Trigger Finger from a Hand Therapist at Action Rehab.
Action Rehab provide assessment and treatment for all conditions relating to the upper limb, including trigger finger. Come and see our highly qualified and friendly staff today at a location convenient to you.